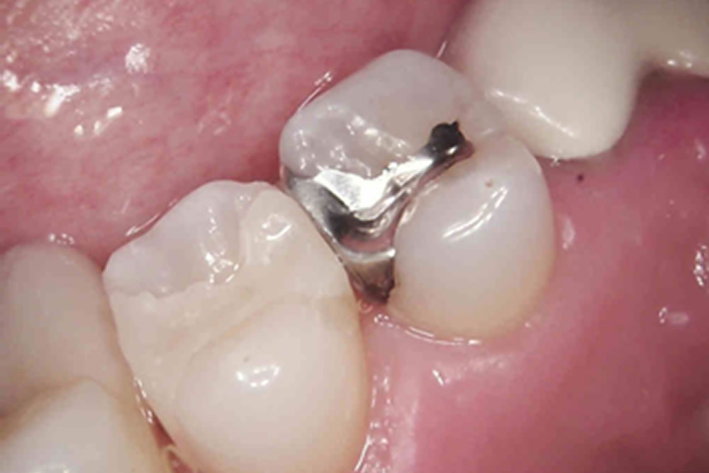
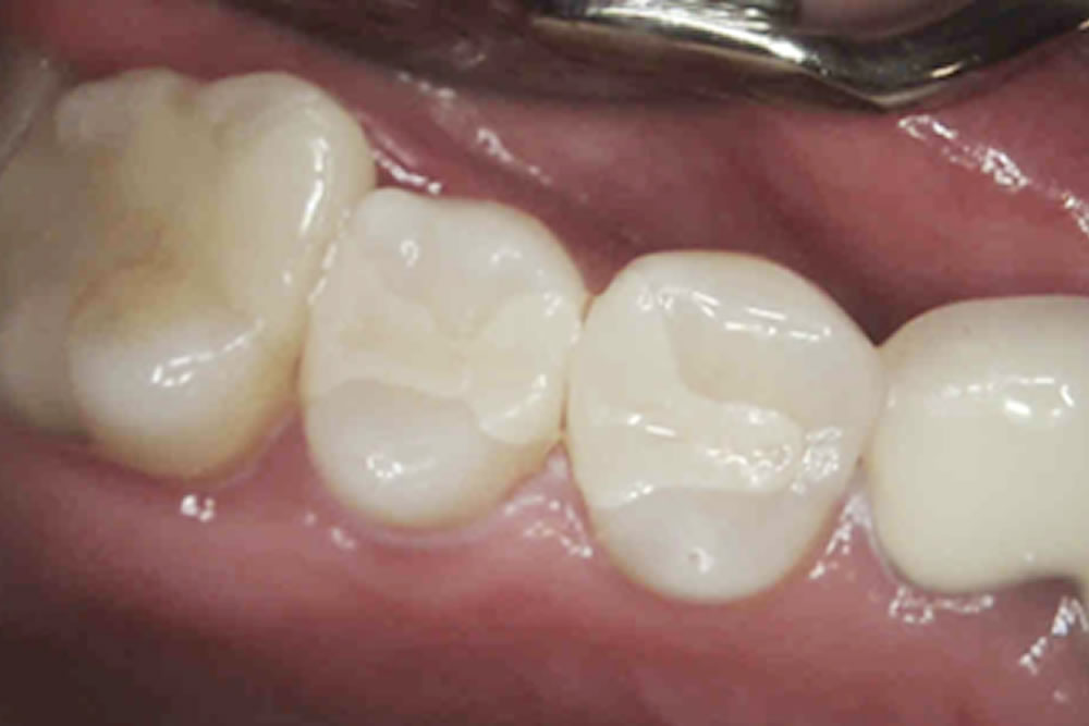
ジルコニアインレーを口腔内スキャナーにて印象採得し製作した症例
ジルコニアインレーを口腔内スキャナーにて印象採得し製作した症例
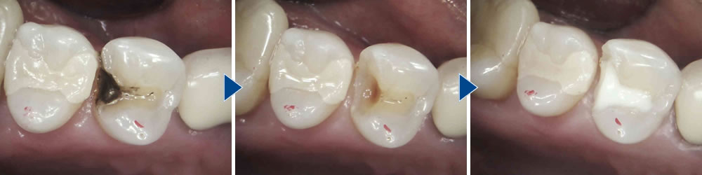
虫歯の除去
虫歯を除去した後、数日間経過を観察しました。痛みなどの症状が認められなかったため、神経を残す方針としました。同意の上、ジルコニアインレーの製作へ進みました。
| 年齢・性別 | 50代 女性 |
|---|---|
| 治療期間 | 36日 |
| 治療回数 | 3回 |
| 治療費 | ジルコニアインレー 99,000円(税込) |
| リスクなど | ・咬み合わせの強い方は、ナイトガードの装着を継続しないと破折する可能性があります。 |






