さとう歯科クリニックの症例
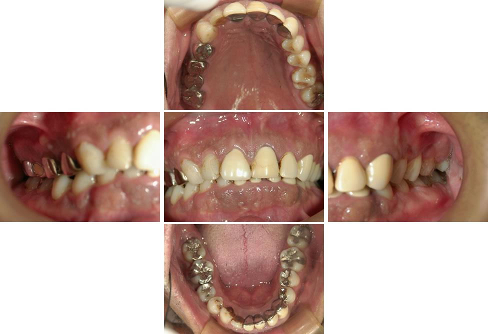
下顎奥歯のインプラント治療症例

下顎奥歯のインプラント治療症例 こちらの患者さまは、かぶせ物が外れたため2018年8月に他院を受診されました。精査の結果、歯根が破折していることが判明し、抜歯となりました。前医では抜歯後2年間は治療ができないと説明を受け […]
銀歯をジルコニアのつめ物に変更した症例

銀歯をジルコニアのつめ物に変更した症例 こちらの患者さまは、過去の治療で入れた銀歯部分の違和感を主訴に来院されました。 銀歯の縁の浮き上がりが認められ、境目から唾液が入り込む隙間を確認しました。 適合不良の補綴物と判断し […]
ジルコニアインレーを口腔内スキャナーにて印象採得し製作した症例

ジルコニアインレーを口腔内スキャナーにて印象採得し製作した症例 こちらの患者さまは、過去に治療を受けた歯の違和感を主訴に来院されました。 当該歯には銀歯のつめ物が装着されており、診査・検査を行ったところ、内部に虫歯を認め […]
保存不可能な歯を抜歯してインプラントで治療した症例

保存不可能な歯を抜歯してインプラントで治療した症例 ▼保存不可能な歯を抜歯し、インプラントで咬み合わせを回復した症例をご紹介します。 初診時の状況 2014年9月30日 【レントゲン画像(初診時)2014年9月30日】 […]
インプラント(抜歯即時埋入)で咬み合わせを回復した症例④

インプラント(抜歯即時埋入)で咬み合わせを回復した症例 ▼抜歯とインプラント手術を同日に行う「抜歯即時埋入インプラント」で咬み合わせを回復した症例をご紹介します。 初診時の状況 2013年3月27日 こちらの患者さまは、 […]
インプラント(抜歯即時埋入)で咬み合わせを回復した症例③

インプラント(抜歯即時埋入)で咬み合わせを回復した症例 ▼抜歯とインプラント手術を同日に行う「抜歯即時埋入インプラント」で咬み合わせを回復した症例をご紹介します。 初診時の状況 2012年5月23日 こちらの患者さまは、 […]
インプラント(抜歯即時埋入)で咬み合わせを回復した症例②

インプラント(抜歯即時埋入)で咬み合わせを回復した症例 ▼抜歯とインプラント手術を同日に行う「抜歯即時埋入インプラント」で咬み合わせを回復した症例をご紹介します。 初診時の状況 2016年9月10日 こちらの患者さまは、 […]
インプラント(抜歯即時埋入)で咬み合わせを回復した症例

インプラント(抜歯即時埋入)で咬み合わせを回復した症例 ▼抜歯とインプラント手術を同日に行う「抜歯即時埋入インプラント」で咬み合わせを回復した症例をご紹介します。 初診時の状況 2016年10月14日 こちらの患者さまは […]
インプラントオーバーデンチャーで咬み合わせを回復した症例(40代:男性)

インプラントオーバーデンチャーで咬み合わせを回復した症例 ▼インプラントを支柱として、入れ歯を固定するインプラントオーバーデンチャーで咬み合わせを回復した症例ご紹介いたします。 こちらの患者さまは上下共に義歯を使用されて […]
セラミック修復とインプラントによる全顎的な治療症例(50代:女性)

セラミック修復とインプラントによる全顎的な治療症例 ▼こちらの患者様は右上の前歯が折れたとのことで来院されました。 (図:初診時=正面・側方面・咬合面) 右下奥歯が欠損しており、義歯を作ったことがなく長期的に歯がない状態 […]


