小児矯正
このページの目次
成長を利用した小児矯正治療を行っています

当院ではお子様の成長を利用した小児矯正治療を実施しています。将来的に正常な歯並びを手に入れるため、永久歯に生え変わる頃から咬合誘導を行う事で、無理のない顎の発育を促す事ができます。また、矯正治療は見た目だけでなく歯磨きがしやすくなる事によって、虫歯リスクも抑える事ができます。お子様の歯並びでお悩みの方がいらっしゃいましたら、一度当院までお気軽にご相談下さい。
顎が狭い・小さいことで生じる問題とは?
昨今では、食べ物の軟化や多様化によって顎骨が正常に発達しないお子様が増加傾向にあります。
顎骨が狭い・小さいと永久歯の生える場所が不足するため、歯が重なって生えたり、斜め向きに生えたりと、歯並びや噛み合わせが悪くなってしまう可能性が高くなります。
また、顎が小さい場合は鼻腔への気道が狭まり、多くのケースで鼻詰まりや口呼吸が習慣になってしまいます。口呼吸は有害物質やウィルスをそのまま体内へと取り込んでしまうので、感染症やアレルギーの発症をはじめ、いびきや睡眠時無呼吸症候群のリスクが高くなるなど、様々な問題を引き起こす可能性があります。
小児矯正に使用する矯正装置
さとう歯科クリニックの小児矯正では、お子様の歯並びや年齢などを考慮し、適切な装置をご提案いたします。当院で取り扱っている小児矯正用の装置についてご紹介いたします。
床拡大装置(可撤式拡大装置)
土台となる顎を広げて、永久歯が正常に生えるスペースを確保する目的で使用される装置です。
この装置は、時間をかけてゆっくり矯正を行うため痛みもほとんどなく、お子様でもストレスを感じずに続ける事ができます。ネジを回して少しずつ、拡大していく仕組みとなっています。
スケルトン矯正(スケルトンタイプの固定式拡大装置)
スケルトン矯正は、患者さま自身で取り外しができない固定式の拡大装置です。真ん中のネジで装置を調整しながら、少しずつ顎を拡大します。
スケルトン矯正はお子様の成長を利用することによって、痛みをほとんど感じることなく正中口蓋縫合(上あごの内側の真ん中にある骨の継ぎ目)の拡大ができることが特徴です。
しっかりと顎を拡げて土台を整えてあげることで、抜歯せずに永久歯の歯並び・噛み合わせを良い方向へと導きます。
スケルトン矯正(スケルトンタイプの固定式拡大装置)の流れ
装置を上顎に装着(約2ヵ月)
装置中央にあるネジを親御さんが週に2回調整しながら、少しずつ顎を拡げていきます。
上顎の拡大
上顎は3~4㎜ほど拡大します。(※症例によって10㎜位拡大することもあります。)
正中口蓋縫合の骨が形成される
上顎の拡大後、3~6ヵ月程で正中口蓋縫合の骨が形成されます。同時に必要に応じてワイヤー矯正を行い、歯並びを整えていきます。
ワイヤー矯正
床拡大装置によって、十分な顎の拡大が行われた後には、一般的なワイヤー装置での歯列矯正を行います。
顎の拡大によってある程度、歯列は整ってはいますが、ワイヤーでの仕上げをする事でより綺麗な歯並びになります。拡大装置による治療と併用する事でスムーズな治療に努めております。
・矯正歯科治療は原則として初めの内は月に1回位の通院をして頂きます。
・矯正器具は毎日1日中装着していただきます。
※矯正器具を入れたばかりの頃は、違和感を感じたりしますが、徐々に慣れてきます。
小児矯正治療のリスク・注意点について
- 矯正装置によって歯磨きが不十分となり、虫歯や歯肉の炎症を引き起こす場合がございます。親御さんがケアのサポートをしてあげましょう。
- 装置の使用時間が短い場合など、計画どおりに歯列が改善されないことがございます。
- 歯に固定する装置は、固い物を噛む際の衝撃によって破損や変形する場合がございます。
小児矯正治療によって開咬・叢生を改善した症例
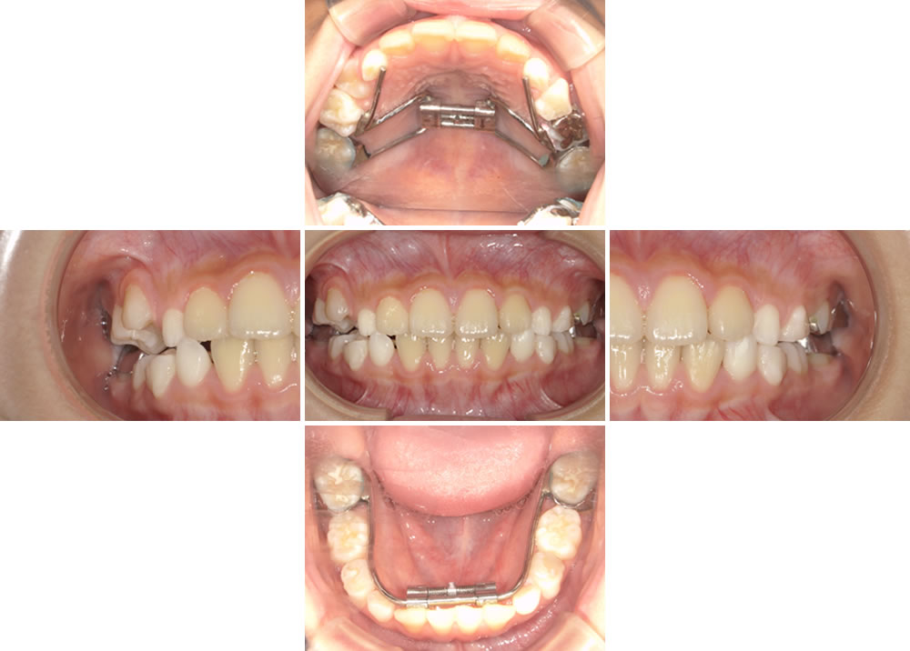
こちらの患者さまは、歯並びが気になるとのことで来院されました。初診時は、叢生(歯のガタつき)、開咬(前歯が噛み合わない状態)が認められました。また、歯列の幅が不足しており、永久歯がきれいに並ぶためのスペースも十分ではありませんでした。
拡大装置装着後の経過(2022/5月)
まずは、拡大装置を装着し、成長を利用して顎骨を拡げ、永久歯が正しい位置へ萌出できる環境を整えました。その後、歯の排列および咬み合わせの改善を目的に本格矯正へ移行しました。
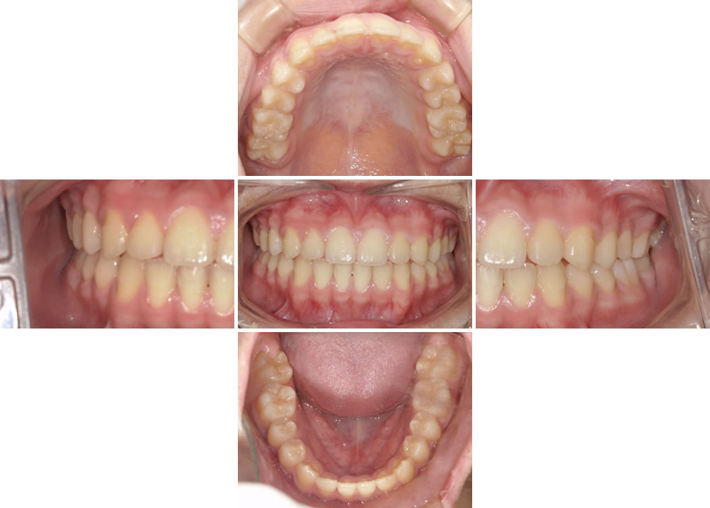
矯正治療終了
【歯並び改善後の模型】
矯正治療終了時の口腔内写真です。歯並び・咬み合わせが改善され、機能面・審美面も良好な状態になりました。
| 年齢・性別 | (開始時:9歳 終了時:14歳) 男子 |
|---|---|
| 治療期間 | 5年1ヵ月 |
| 治療回数 | 43回 |
| 治療費 | 初期費用 440,000円(税込) 調整料 2,200円(税込)×42回 |
| リスクなど | ・保定処置を行わなければ、歯並びが後戻りすることがあります。 ・矯正治療中は鈍痛を感じる場合があります。 |
小児矯正治療で気になる八重歯を改善した症例
(初診時:2021年7月)
こちらの患者さまは八重歯が気になるとの主訴で来院されました。まず、歯を移動させるスペースを確保するため、左上奥歯の乳歯を抜歯しました。その後、矯正装置作製のために歯列模型の型どりを行いました。
(経過観察時:2022年1月)
作製したスケルトンタイプ(歯列拡大)の矯正装置を上下の歯に装着して約5ヵ月が経過しました。少しずつ歯列が拡大され、主訴である八重歯も初診時に比べて目立たなくなってきました。
(経過観察時:2022年3月)
矯正治療を開始して約8ヵ月が経過しました。上下顎共に歯並びの凹凸が緩和されています。
(経過観察時:2022年5月)
矯正治療を開始して約10ヵ月が経過しました。歯列が拡大され、主訴である八重歯をはじめ、全体的な歯並びが整ってきました。
(治療完了時:2023年5月)
計画通りに八重歯が改善され、全体的な歯並びも綺麗になったため、2023年3月に上顎の矯正装置、4月に下顎の矯正装置を取り外しました。歯の後戻りを防止するため、保定処置へ移行し、矯正治療完了となります。矯正治療が想像以上に早く済んだので患者さまはとても驚いておられました。
| 年齢・性別 | 13歳 女子 |
|---|---|
| 治療期間 | 1年10ヵ月 |
| 治療回数 | 26回 |
| 治療費 | 初期費用 440,000円(税込) 調整料 2,200円(月1回)×17回 |
| リスクなど | ・矯正装置の装着時すぐは痛みを感じる場合があります。 ・矯正治療中は口内炎ができることがあります。 ・矯正後は保定処置をきちんと行わないと、歯が後戻りする可能性があります。 |
矯正治療の費用
※下記金額は全て税込です。
| 名称 | イメージ | 特性 | 料金(税込) |
|---|---|---|---|
| 精密検査/診断費 | ![]() |
レントゲン(必要に応じて)や模型などの資料を取り、診断をして、診断結果を患者さまにお話しするまでにかかる費用です。 | 27,500円 |
| 小児矯正 | ![]() |
乳歯と永久歯が混在している時期に行う治療です。かみ合わせやあごの形、大きさを整え、永久歯がきちんと生えそろうように誘導する治療です。 | 440,000円 |
| 成人矯正 | ![]() |
歯にブラケットを貼り付けて歯を動かす方法です。一般的な大人の成人の矯正治療です。 | 770,000円 |
| 部分矯正 | ![]() |
補綴(被せ物)を入れる前に1歯から数歯の部分的な矯正を行います。 | 110,000円/本 |
| 矯正期間中の調整費 | ![]() |
矯正装置の調整に毎月ご来院いただきます。 | 5,500円/月/成人 2,200円/月/小児 |
| 保定期間中の調整費 | ![]() |
矯正装置をとったあとに歯の戻りを抑えるための透明な保定装置をつけますが、その調整に毎月ご来院いただきます。 | 2,200円/月 |
| 矯正治療の便宜抜歯 | ![]() |
矯正治療時、必要に応じて抜歯いたします。 | 11,000円/1歯 |
※小児矯正から成人矯正へ移行した場合、成人矯正費は精査を行った上、差額を頂きます。詳しくは担当医師までご相談下さい。
※抜歯が必要な場合、抜歯料金は別途頂戴いたします。
厚木・本厚木で小児矯正(子どもの矯正)をお探しの方へ

さとう歯科クリニックでは、お子様の成長を利用した無理のない矯正治療を心がけております。一人ひとりの歯並びや骨格の状態を見極め、適切な治療計画をご提案いたします。厚木・本厚木で小児矯正(子どもの矯正)をお探しの方は、さとう歯科クリニックへお気軽にご相談下さい。


















